안녕하세요. 이영수 고양이병원 이영수 원장입니다.
병원에서만 착한 곰이는 잘 지내는지요?
1월 1 일에 건강검진 했던 결과 보내드립니다.
시간될 때 읽어보시고 궁금하신 점 있으시면 언제든지 연락주세요^^
이 건강검진 결과서는 샘플입니다.
아이의 상태와 검사 종류에 따라 달라 질 수 있음을 참고해주세요.
<신체검사>
곰이 는 신체검사상 특이사항 없었으나 치석이 생기고 있으므로 평소 양치가 필요합니다.
내년 건강검진 시 치석이 많이 생겼을 경우 스케일링이 필요할 수도 있습니다.
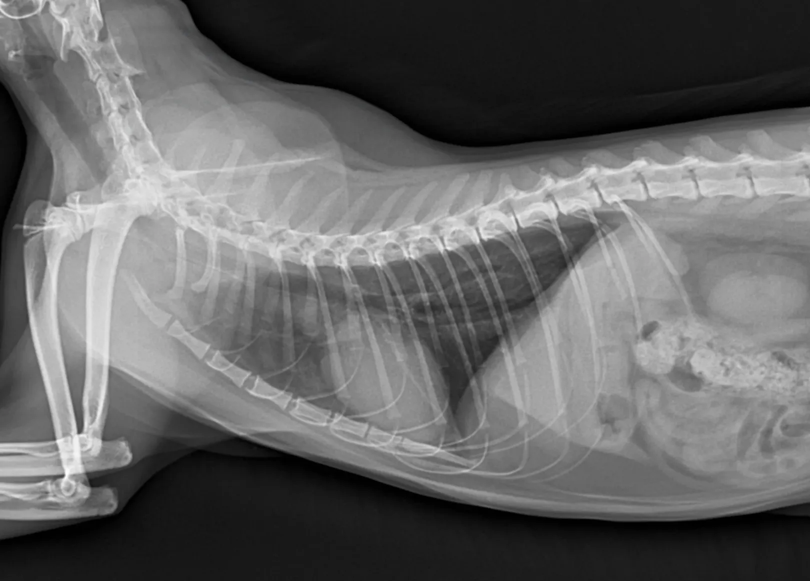
1. 엑스레이 검사 결과 (흉부, 복부)
1) 흉부 방사선
흉부 방사선의 영상 전공의 소견은 다음과 같습니다.
- VHS 7.3 (심장크기 정상)
•
폐실질, 폐혈관 특이 소견 없음
2) 복부 방사선
복부 방사선 상 특이사항 없었습니다.
3) 골반 방사선 검사
곰이의 경우 골반을 추가로 방사선 검사를 시행했는데, 전공의 소견을 보면 다음과 같습니다.
•
좌측 femoral head의 coverage는 mild한 정도로 감소되어 관찰되며 양측 acetabular는 shallow하게 관찰된다.
•
우측 femoral head의 mild한 osteophyte.
주치의 소견을 말씀드리면
곰이는 양측 고관절에 관절이상 소견이 미약하게 관찰됩니다. 선천적으로 고관절이 안좋은 경우는 간혹 발생하며 나이가 들면서 진행될 수 있기 때문에 1년에 한번씩 고관절에 대한 방사선 평가를 해보는 것이 좋습니다.
체중이 많이 늘면 좋지 않으며 과도한 점프나 운동은 좋지 않습니다.
뒷다리 파행 증상 보일경우 내원해서 확인이 필요합니다.
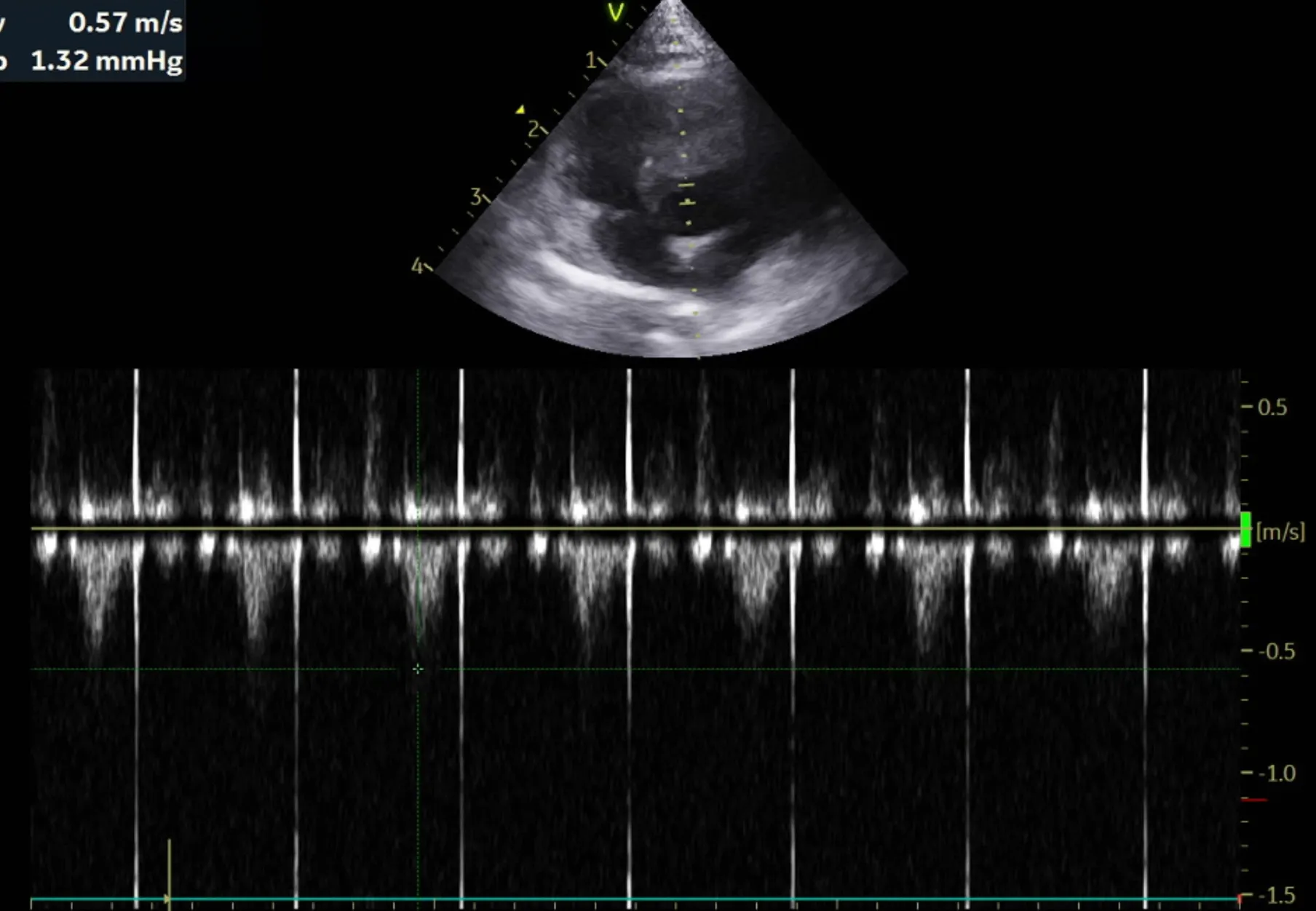
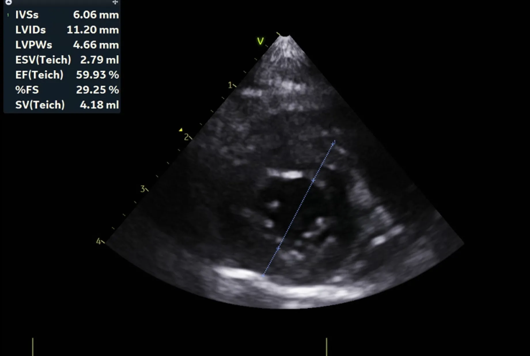
2. 심장 초음파 검사 결과
곰이 의 심장초음파 영상전공의 소견은 다음과 같습니다.
•
RPS long axis 4 chamber view
•
LA와 RA내 aliasing pattern 관찰안됨.
•
LA dilation 관찰안됨.
•
RPS short axis heart base view
•
LA/Ao ratio 1.47로 정상범위(0.88-1.7), 유의미한 LA 확장 없음
•
Left apical 4 chamber view
•
유의미한 MR flow, TR flow 관찰되지 않음
•
분류 수치
IVSd 4.66/4.58(2.80 - 4.90㎜) - 정상/정상
LVIDd 15.83/15.17(12.20 - 19.20㎜) - 정상/정상
LVPWd 4.21/4.09(2.80 - 4.80㎜) - 정상/정상
IVSs 6.06/5.17(4.30 - 8.40㎜) - 정상/정상
LVIDs 11.20/10.69(5.50 - 12.60㎜) - 정상/정상
LVPWs 4.66/5.02(4.60 - 8.50㎜) - 정상/정상
EF 59.9%/60.5%(40% - 67%) - 정상/정상
FS 29.3%/29.5%(30% - 49%) - 감소/감소
LVIDDN 0.98
EDVI 23(~100)
ESVI 9(~30)
Echo_comments
•
HCM으로 의심될만한 소견 관찰되지 않음
주치의 소견은 다음과 같습니다.
곰이 는 심장 초음파 검사 결과 현재 심잠벽의 두께는 정상이며 수축기능, 이완기능(심장이 정상적으로 잘 뛰는 것을 확인하는 검사) 모두 정상입니다.
심장 초음파는 1년에 한번씩 검사 받는 것을 추천드립니다.
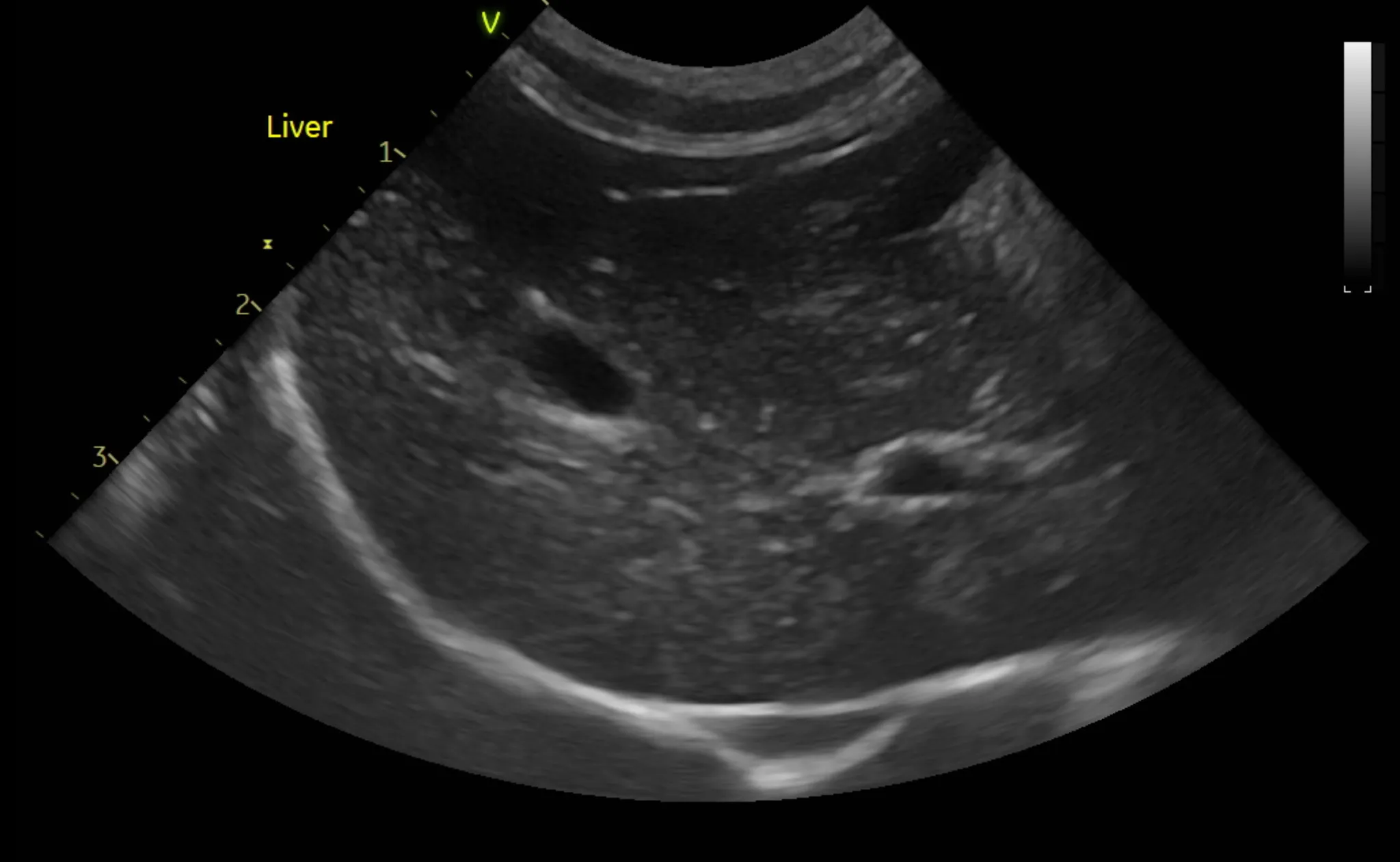
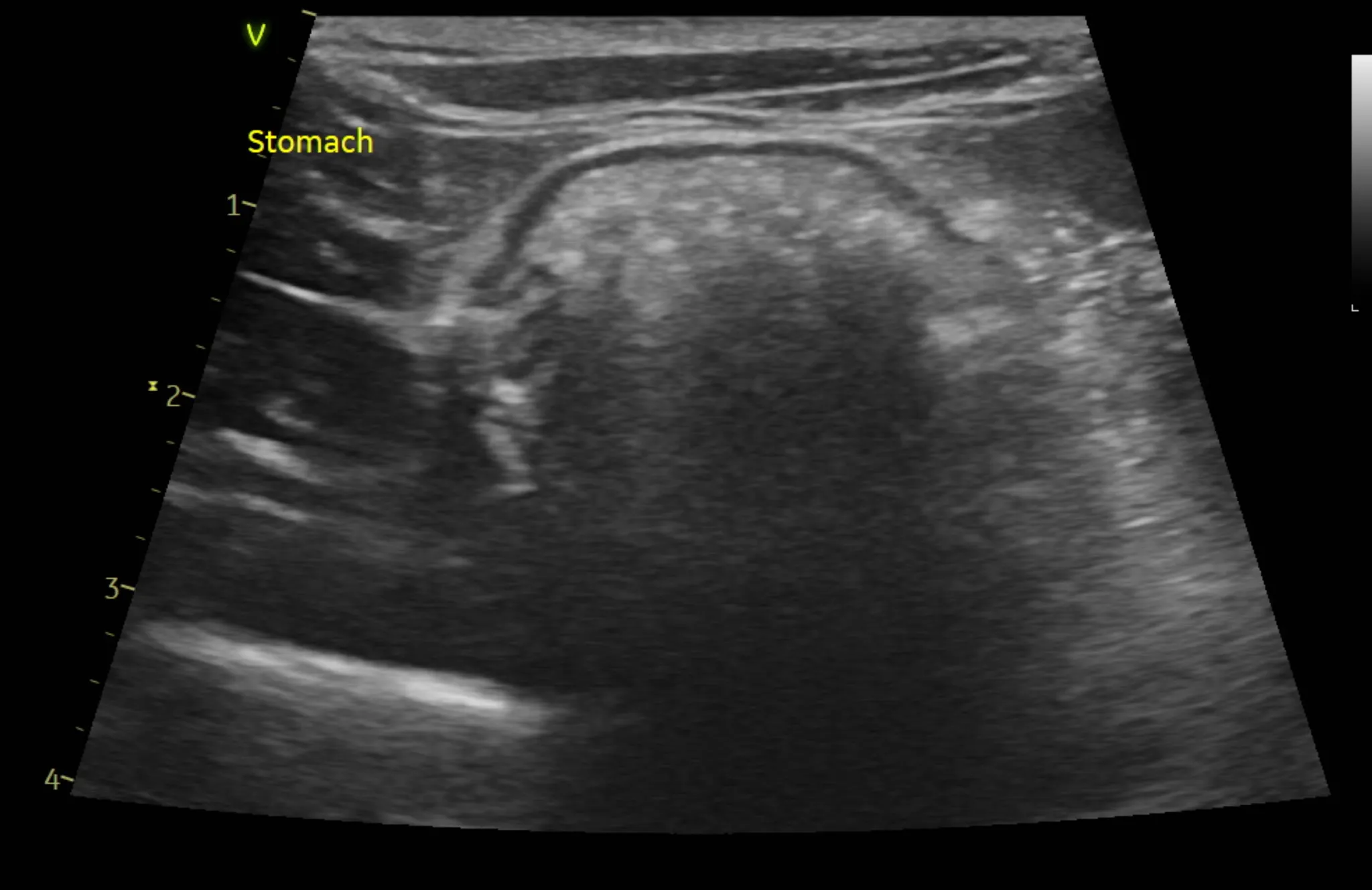
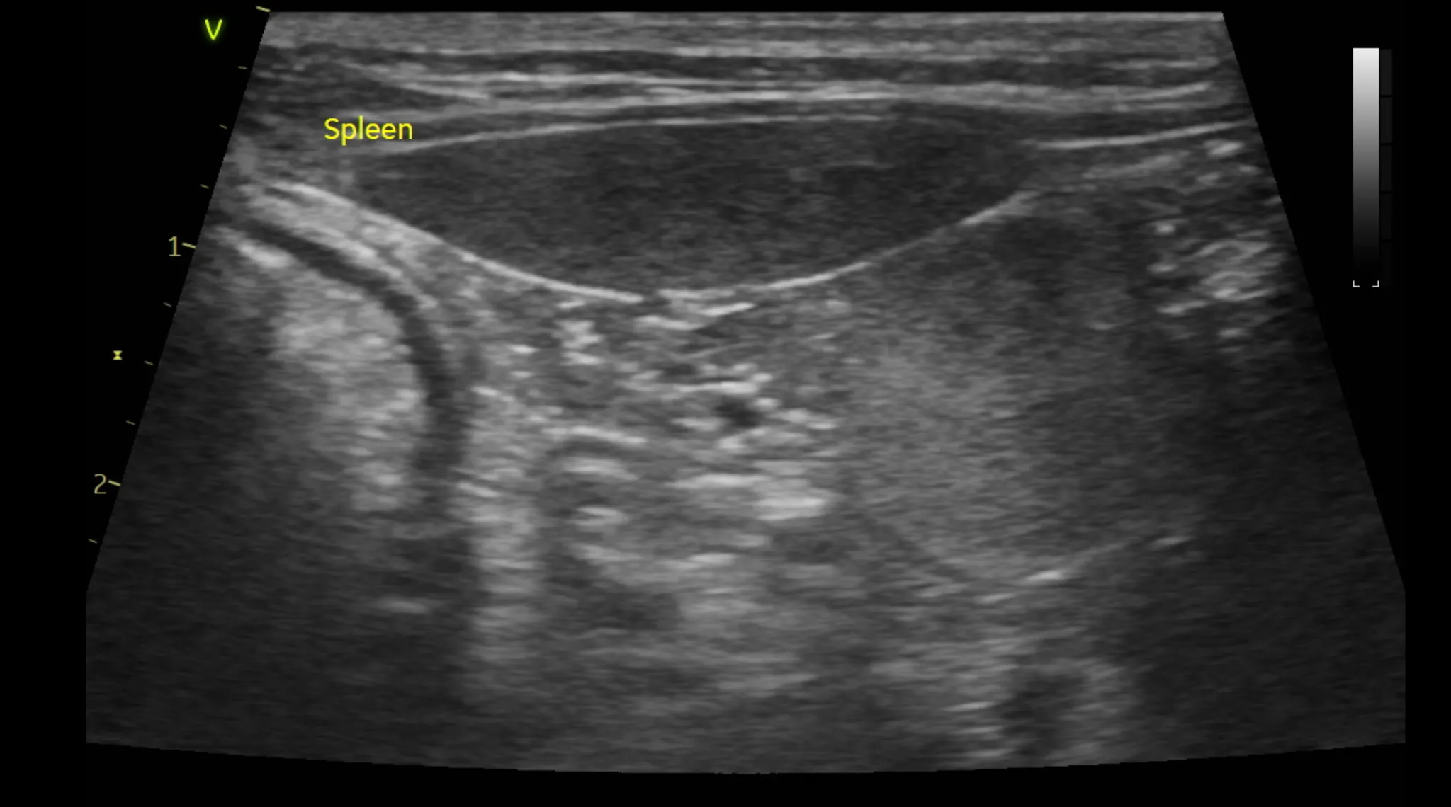
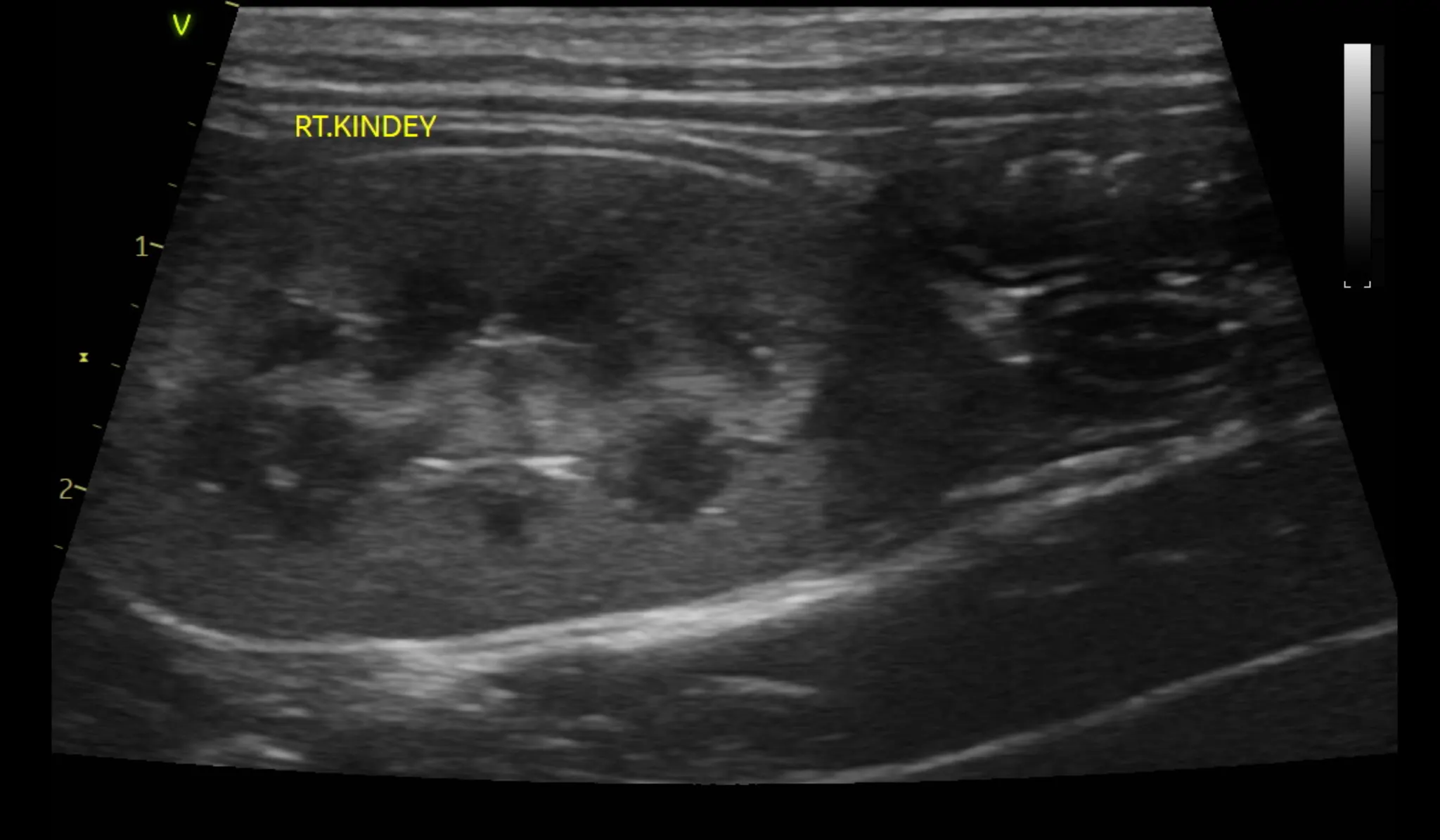
3. 복부 초음파 검사 결과
복부 초음파 검사로는 간, 신장 등 복부 장기의 모양과 결석, 종양등의 이상여부를 알 수 있습니다.
또한 방광 결석, 다낭포성 신장질환 같은 고양이에서 잘 생기는 질환의 경우 초음파 검사로만 알 수 있으므로 매우 중요한 검사 중 하나입니다.
•
복부 초음파 검사 상 특이사항은 발견되지 않았습니다.
•
1년 주기로 검사를 추천드립니다.
4. 혈액검사
혈액검사는 크게 혈청검사와 혈구검사로 나뉩니다.
혈청검사는 간수치, 콩팥수치, 전해질 수치 등을 알 수 있으며
혈구검사는 탈수, 빈혈, 염증상태 등을 알수 있습니다.
1) 혈청검사 결과
2) 혈구 검사 결과
혈구 검사에서 약간의 탈수 증상이 관찰됩니다.
3) 전해질 검사 결과
•
전해질 검사상 특이사항 없었습니다.
4) 혈액형 검사
•
고양이의 혈액형은 A, B, AB 형 3가지가 있습니다. 대부분은 A형이지만 간혹 B 형인 경우에는 나중에 수혈을 받을 일이 생기게 되면 B형 끼리만 헌혈을 할 수 있으므로 미리 알고있는 것이 좋습니다. 또한 브리티쉬 숏헤어의 경우 고양이 품종 중에 B형이 가장 많이 발생하는 품종이기 때문에 미리 알고 있는 것이 중요합니다.
곰이의 경우 (소심한) A 형 이었습니다.
<주치의 종합소견>
곰이의 경우 몸안의 수분량이 정상아이의 비해 약간 부족한 상태입니다. 고양이의 경우 원래 사막에서 살던 아이들이기 때문에 평소에 물을 잘 마시지 않는 습성을 가지고 있습니다. 집안에 사료의 경우 수분이 5%가 채 안되기 때문에 따로 물을 반드시 마셔야 하는데 시루의 경우에는 하루에 최소 200ml 이상 물을 마셔야 합니다.
물을 많이 마시게 하는 방법으로는 1. 물그릇을 군데 군데 여러개 놓는 방법 2. 물그릇 모양을 여러모양으로 준비해서 기호에 맞춰주는 방법 3. 캔, 파우치 등을 중간에 주셔서 수분을 공급하는 방법(캔이나 파우치에는 수분함량이 60% 이상입니다) 등이 있습니다. 탈수가 지속되면 현재 건강상태에는 문제가 없지만 차후에 나이가 들면 비뇨기등의 결석, 방광염, 신부전 같은 질병들이 일어날 확률이 높아집니다.
또한 심장 초음파 검사상에는 특이사항이 없었으나 평소 아이가 소심하여 호흡이 빠른 경우에는 수면중 호흡수를 유심히 관찰할 필요가 있습니다. 수면 중 1분 당 고양이의 정상 호흡수는 15~25 회 사이이며 30회가 넘어가는 경우에는 병원에 문의를 주셔야 합니다.
곰이의 경우 이번 건강검진 에서는 특이사항이 없었으며 1년 후인 2024년 1월 에 건강검진이 추천됩니다
이영수 원장님이 작성했던 추가적으로 읽으면 좋을 만한 기사를 같이 보내드립니다 (클릭 하시면 됩니다)
































